
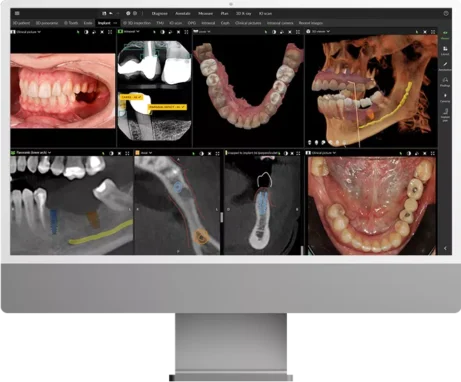
DEXIS DTX Studio™ Clinic
- s jedinou platformou s podporou AI pro 2D a 3D snímky: univerzální, otevřenou, cloudovou a řízenou umělou inteligencí.
Soustřeďte se na péči o pacienta
Funkce umělé inteligence v DTX Studio Clinic šetří čas a zjednodušují prezentaci případů.
DTX Studio™ Clinic je centrálním zobrazovacím hubem pro celou vaši kliniku. Automaticky konsoliduje všechny typy snímků k případům pacienta, umožňuje stanovit diagnózu, edukovat pacienty, plánovat léčbu, vytvářet chirurgické šablony a mnoho dalšího.
Důvěryhodný
Každý měsíc je v ordinacích po celém světě zpracováno více než 7 milionů snímků díky DTX Studio Clinic.*
Rychlý
Naplánujte léčbu implantáty a vytvořte automatizovanou chirurgickou šablonu za méně než 3 minuty.**

Ušetřete nespočet hodin automatizací manuálních úkolů pomocí AI
Připravte své 3D snímky během několika sekund:
Automatické 3D umístění zubů
Workflow navigace vycentrovaná na zubu
Korekce polohy pacienta
Automatické nastavení fokální vrstvy
Automatická anotace mandibulárního nervového kanálu

Automatizovaná počáteční pozice implantátu
Během několika kliknutí vygenerujte softwarově navržené pozice implantátů a poté je upravte či doladěte podle vašich klinických potřeb.
Asistované plánování implantátů s DTX Studio Clinic.*
Inspirované přírodou, navržené s ohledem na biologii.
Dostaňte se od snímků k vašemu plánu implantátu* za méně než 90 sekund.
*Pouze počáteční pozice implantátu, pro jeden implantát; může vyžadovat úpravu průměru, délky a výsledné pozice implantátu.

Automatizovaný chirurgický plán
Naplánujte celý případ, včetně automatického vytvoření chirurgického postupu, za méně než 3 minuty* – a zkraťte tak počet návštěv pacienta třeba jen na jednu.
*data uložena v interních podkladech

Fúze 3D a intraorálních skenů
Využijte AI k identifikaci čísel zubů na vašem intraorálním skenu a spojte jej s CBCT pro proteticky řízené plánování.

Fúze 3D a intraorálního skenu
Využijte AI k identifikaci čísel zubů na vašem intraorálním skenu a spojte jej s CBCT pro proteticky řízené plánování.

Generování virtuálních zubů během několika sekund
Vytvořte virtuální zuby během několika sekund. Proveďte virtuální extrakci nebo vytvořte nové zuby pro „crown-down“ plánování.

Zarovnání obličeje s CBCT snímky
Okamžitě zarovnejte obličejové skeny s 3D rentgeny pro komplexní pohled na pacienta.

Segmentace horních a dolních zubů
Automatizujte segmentaci maxily a mandibuly pro rychlé a přesné plánování léčby¹.

Ušetřete nespočet hodin automatizací manuálních úkolů díky funkcím AI pro výhradně 2D workflow.
- Nepatologický chrup
- Výška kosti
- Nastavení případu
- Navigace podle zubů
- Dentální nálezy
- Anatomické struktury
Detekce předchozích ošetření
Automaticky vygenerujte přehled předchozích ošetření vašeho pacienta a nepatologického chrupu¹.

Měření výšky kosti
Buďte upozorněni na ústup kostní úrovně, abyste mohli okamžitě provést parodontologické vyšetření a prodiskutovat možné ošetření¹.

AI nastavení případu
Využijte AI k okamžité identifikaci, orientaci a umístění zubů do šablony — včetně 2D rentgenů, klinických fotografií a jakýchkoli dalších snímků, které mohou podpořit vaši komunikaci a plánování.

Navigace zub po zubu
Klikněte na jakýkoli zub a zobrazte jeho kompletní historii a všechny související snímky.

2D AI dentální nálezy*
Identifikujte a zvýrazněte 6 běžných dentálních nálezů pomocí AI, poté každý z nich s pacientem projděte a na místě prodiskutujte možné ošetření:
- Karies
Periapikální projasnění
Nedostatečné kořenové plnění
Neshoda na okraji stávající výplně
Ztráta kosti
Zubní kámen
*volitelná funkce

Vizualizace anatomických struktur
Využijte segmentační algoritmus pro detailní vizualizaci zubu, který chcete zdůraznit a prodiskutovat s pacientem¹.

Od pořízení snímku až po schválení léčby ve 3 jednoduchých krocích
Krok 1
Importujte všechny typy snímků do jediné otevřené zobrazovací platformy
Všechny snímky jsou podporovány – bez ohledu na značku nástrojů nebo softwaru, který používáte!
Uložte kompletní historii snímků pacienta na jedno centrální místo pro snadné vyhledávání a plynulé prezentace případů.

Krok 2
Nastavte případ, analyzujte data a prezentujte své nálezy – a to vše, aniž byste opustili ordinaci.
DTX Studio Clinic využívá AI k automatické organizaci případu a vytváření působivých vizuálů pro komunikaci s pacientem.
Okamžitě roztřiďte a očíslujte každý zub na vašich 2D snímcích
…poté klikněte na jakýkoli zub a zobrazte jeho kompletní historii.
Využijte AI k automatické identifikaci 6 běžných dentálních nálezů a každý z nich s pacientem projděte.
Připravte své 3D snímky během několika sekund, včetně:
- Umístění zubů
- Pracovní postup navigace zaměřený na zub
- Korekce polohy pacienta
- Trasování fokální vrstvy
- Anotace mandibulárního nervového kanálu
- Sloučení CBCT a intraorálních skenů
Automaticky spojte své 3D a intraorální skeny a vytvořte digitálního pacienta
…poté vytvářejte nebo odstraňujte zuby ještě před virtuálním umístěním implantátu(ů) nebo provedením plánovaného ošetření – přímo v ordinaci.
Okamžitě vygenerujte automatizovanou chirurgickou šablonu
Plánování celého případu, včetně vytvoření chirurgické šablony, lze v softwaru provést za méně než 3 minuty – takže můžete snížit počet návštěv pacienta třeba jen na jednu.
Krok 3
Vše proberte přímo u křesla, to buduje důvěru
Vytvořit „vidět znamená uvěřit“ je nyní jednodušší a působivější než kdykoliv dřív! Vytvořte takovou míru důvěry, které lze dosáhnout jen tím, že pacientovi ukážete vše, co vidíte vy – a krok za krokem mu vysvětlíte, co plánujete.

Pro více informací o těchto produktech nás neváhejte kontaktovat na info@smrcek-dental.cz nebo telefonicky na +420 541 244 575 – rádi vám poradíme a poskytneme veškeré detaily.