
DEXIS OP 3D EX
- Pomozte svému personálu získat přesně takové diagnostické snímky, jaké potřebujete, díky široké nabídce přizpůsobitelných velikostí zobrazovaného pole (FOV) od 5 × 5 cm do 10 × 15 cm a nastavitelnému rozsahu zobrazení s volbou nízké dávky záření, standardního, endodontického nebo vysokého rozlišení.*
Díky 6 přednastaveným FOV a až 66 přizpůsobitelným rozsahům lze dosáhnout optimálních diagnostických výsledků při nejnižší rozumné dávce záření.
Rozšiřte své diagnostické možnosti pomocí 3D zobrazování
ORTHOPANTOMOGRAPH™ OP 3D™ EX komplexní rentgenová platforma určená pro všeobecné stomatology, kteří chtějí rozšířit svou praxi o 3D zobrazování.
OP 3D EX umožňuje snadné pořizování vysoce kvalitních snímků s krátkou dobou skenování a nabízí uživatelsky přívětivé funkce v celém pracovním postupu dentálního zobrazování. Díky flexibilním velikostem zobrazovaného pole a pokročilým filtrům – jak přímo v zařízení, tak v softwaru DTX Studio™ Clinic – můžete analyzovat jasné a přesné 3D snímky a stanovovat diagnózu s jistotou. Mezi tyto filtry patří například redukce kovových artefaktů (MAR), zvýraznění kontrastu implantátů (ICE) a redukce šumu se zachováním hran (EPNR).
Objevte možnosti s 3D zobrazováním

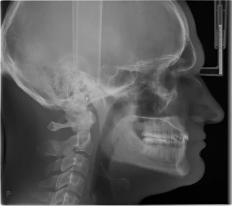
OP 3D EX je plně rozšiřitelný o cefalometrické zobrazování. Využijte inovativní, patentovaný design ORTHOceph™ Plus, který posouvá pracovní postup cefalometrického zobrazování na zcela novou úroveň.

Spínač expozice přichází s vylepšeným ergonomickým designem a světelným indikátorem, který zobrazuje stav zařízení (připraveno, probíhá expozice), čímž zajišťuje snadnější a efektivnější ovládání.
Objevte sílu personalizace díky možnosti upravit zvuky zařízení i dálkového ovládání.

Automaticky měří anatomii pacienta a nastavuje expoziční hodnoty pro optimální kvalitu obrazu při co nejnižší dávce záření.

Vyzkoušejte nový režim HD pro standardní (pro dospělé) panoramatický program.
Nabízí 15sekundový čas skenování, ostřejší snímky s menším šumem* a vyšším rozlišením oproti standardním skenům, s možností zvolit si normální nebo HD režim jako výchozí nastavení.
*Ve srovnání se standardním panoramatickým programem OP 3D EX
Prozkoumejte rozšířené možnosti zobrazení

| Velikost FOV (V×H×D) | Klinické použití |
|---|---|
| 5 × 5 cm Lokální diagnostika |
Endodontické vyšetření, jednotlivá implantátová místa a patologické nálezy. |
| 6 × 9 cm Jeden oblouk |
Plánování implantátů, tvorba chirurgických šablon, impaktované špičáky. |
| 8 × 8 cm Kompaktní duální oblouk |
Plánování implantátů v mandibule i maxile (v obou obloucích). |
| 10 × 10 cm Kompletní chrup |
Mandibula a maxila včetně oblasti třetích molárů a dolních částí maxilárních dutin — ideální pro více implantátů nebo parodontologické vyšetření. |
| 10 × 11 cm Rozšířené hodnocení třetích molárů |
Ideální pro atypické/impaktované třetí moláry a větší čelisti. Rozšířený průměr pro horizontálně impaktované nebo distálně uložené osmičky. |
| 10 × 15 cm* Chrup a oboustranné TMK |
Maxilofaciální komplex — mandibula a maxila, oboustranné TMK, dutiny a faryngeální dýchací cesty. |
Pořiďte rychlé a přesné snímky ve 4 jednoduchých krocích.

1. Zajistěte správnou pozici a stabilitu pacienta
Nově navržená opěrka hlavy vám pomůže rychle najít ideální polohu pacienta a zároveň zajistí, aby pacient během expozice zůstal v klidu.
2. Uživatelsky přívětivé rozhraní
V přehledném a intuitivním rozhraní si vizuálně zvolíte oblast zájmu rychle a jednoduše.


3. Přesné snímkování obrazu
Využijte volitelný scout snímek k náhledu a úpravě oblasti zájmu bez nutnosti znovu polohovat pacienta nebo dokonce otevírat zobrazovací software.
4. Rychlé skenování
OP 3D EX nabízí v průměru celkem o 30 % kratší časy skenování a až o 50 % rychlejší skenování v režimu nízké dávky.*
* Ve srovnání s OP 3D. Data uložena u výrobce.

Stanovte diagnózu s jistotou a naplánujte léčbu s využitím umělé inteligence
Představujeme vaše centrum zobrazování: DTX Studio™ Clinic
DTX Studio™ Clinic je vybaveno chytrými nástroji a pokročilými algoritmy a slouží jako knihovna snímků, diagnostické centrum i navigátor plánování léčby, který plynule propojuje každý krok vašeho digitálního pracovního postupu.
Jakmile pořídíte 3D snímky, software je automaticky připraví, včetně:
- Automatické nastavení případu
- Identifikace fokální vrstvy
- Automatické 3D polohování zubů
- Označení mandibulárního nervového kanálu
- Korekce polohy pacienta
- Sloučení CBCT a intraorálních skenů

Chirurgické šablony navržené přímo od křesla pacienta za méně než 3 minuty
Rozšiřte nabídku svých služeb
- Analýza TMK
- Ortodoncie
- Zavedení implantátů
- Program HD Pan
- Onemocnění dásní
- Rekonstrukce
- Analýza dýchacích cest

Analýza TMK
Zajistěte správné postavení kloubu před ortodontickým plánováním a vyhodnoťte změny kondylů i okluze. Bilaterální zobrazení temporomandibulárního kloubu u OP 3D EX umožňuje posoudit polohu v kloubní jamce, degenerativní změny tvrdých tkání a také vertikální rozměr u rozsáhlejších protetických případů.

Ortodoncie
OP 3D EX s kefalometrickým modulem nabízí potřebné protokoly, jako jsou laterální a pediatrické laterální projekce (s nastavitelnou šířkou zorného pole od 16 do 26 cm), zadopřední (PA) projekce a snímkování karpu* – to vše s rychlými časy skenování a při nízké dávce záření.
* Snímkování karpu je volitelný zobrazovací program.

Zavedení implantátů
OP 3D EX a DTX Studio™ Clinic vám umožňují rozšířit klinické možnosti díky vícenásobným pohledům na snímky pacienta, předoperačnímu posouzení anatomie a podpoře přesného a bezpečného zavádění implantátů.

Kořenové kanálky
Díky specializovanému endodontickému rozlišení (80 µm) a přesnému polohování skenu, které lze snadno vystředit na jednotlivý zub, je OP 3D EX optimalizován pro zobrazení i těch nejmenších detailů, jež jsou klíčové pro endodontickou diagnostiku a plánování léčby.

Onemocnění dásní (parodontóza)
Od plánování implantátů až po chirurgické řešení úbytku kosti umožňují flexibilní velikosti zorného pole OP 3D EX detailní analýzu kostní struktury, polohy dutin i nervových struktur.

Rekonstrukční stomatologie
Pořiďte vysoce detailní 3D snímky, které zajišťují maximální diagnostickou přesnost pro plánování léčby, chirurgické zákroky i protetické aplikace v implantologii. OP 3D EX ve spojení se softwarem DTX Studio™ Clinic umožňuje sloučení 3D dat s intraorálními skeny, a tím připravit kompletní a realistickou vizualizaci anatomie pacienta.

Analýza dýchacích cest
Díky volitelnému velkému zornému poli 10 × 15 cm umožňuje OP 3D EX ve spojení se softwarem DTX Studio™ Clinic vyšetření dýchacích cest v jediném rychlém skenu. To pomáhá odhalit možné problémy, které lze řešit například mandibulárními protruzními aparáty, ortodontickou expanzí nebo ortognátní chirurgií.
Udržujte své vybavení v dobrém stavu a spolehlivém provozu

Využijte volitelné prodloužení záruky až na 10 let pro vaše DEXIS CBCT zařízení.


Pro více informací o těchto produktech nás neváhejte kontaktovat na info@smrcek-dental.cz nebo telefonicky na +420 541 244 575 – rádi vám poradíme a poskytneme veškeré detaily.