
DEXIS Scan eXam™ One
- nabízí rychlé a přesné intraorální zobrazování s vysokou kvalitou obrazu. Navazuje na technologii DIGORA™ a díky softwaru DTX Studio Clinic s AI zajišťuje diagnostickou jistotu, produktivitu a jednoduché ovládání.
DEXIS Scan eXam™ One nabízí širokou škálu možností pro vaše diagnostické potřeby a poskytuje vysoce kvalitní výsledky i mimořádnou kvalitu obrazu. Jeho design, navržený pro přehledné a snadné použití, spolu s intuitivním systémem zajišťuje efektivní intraorální zobrazování.
Scan eXam One navazuje na revoluci v intraorálním zobrazování, kterou před téměř třemi desetiletími zahájil systém DIGORA™, vyráběný stejnou společností — PaloDEx Group Oy v Tuusule ve Finsku.
Workflow řízené umělou inteligencí jsou součástí softwaru DTX Studio Clinic, dodávaným společně se Scan eXam™ One.
Toto intraorální zobrazovací řešení bylo vyvinuto tak, aby vám i vašemu týmu poskytlo jistotu při diagnostice a produktivitu - chytře a jednoduše.
Jistota v diagnostice
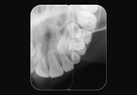
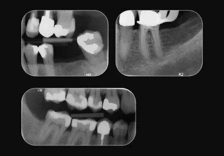
Vynikající kvalita snímků
Pokročilé digitální zpracování obrazu poskytuje konzistentní snímky znovu a znovu. Vynikající kvality obrazu lze dosáhnout již s továrním nastavením, které lze navíc snadno upravit podle diagnostických preferencí zubního lékaře.



2D dentální nálezy
Okamžitě detekujte a diagnostikujte šest možných dentálních nálezů (kaz, periapikální léze, kořenový kanálek, okrajové netěsnosti, úbytek kosti, zubní kámen) pomocí funkce oblastí klíčového zájmu řízené umělou inteligencí ve vašich 2D intraorálních snímcích. Tato funkce je součástí přiloženého softwaru DTX Studio Clinic.
Patentovaný systém iDOT™
Kontrolujte kvalitu svých obrazových desek pomocí unikátního značicího systému iDOT™. Značení iDOT™ je viditelné na každém pořízeném snímku, takže snadno rozpoznáte desky, u nichž kvalita začíná klesat. Poškozené desky lze okamžitě vyměnit.


Automatizované snímky
Automatické kompenzace přeexponování i podexponování. Jasné a ostré intraorální snímky přesně reprodukují úrovně šedi, aby zobrazily veškeré potřebné diagnostické detaily.
Produktivita
Snadný pracovní postup
Snadné ovládání a vysoká rychlost v každodenní klinické praxi. Stačí vložit obrazovou desku – magnet ji uchytí a Scan eXam One se postará o vše ostatní. Doba zpracování není závislá na zvoleném rozlišení. Celý proces od načtení snímku po jeho zobrazení na obrazovce trvá jen několik sekund.



MagicSort™ – automatické rozpoznání čísla zubu pomocí AI
MagicSort automaticky rozpozná zachycené zuby na intraorálním rentgenovém snímku a přiřadí jim odpovídající čísla. Obraz se zároveň správně natočí a umístí na správnou pozici ve zvoleném radiografickém schématu. Tato funkce je součástí přiloženého softwaru DTX Studio Clinic.
SmartFocus™ – plynulá navigace zub po zubu
Se SmartFocus můžete využít pozice zubů jako referenční body a jedním kliknutím procházet různé snímky pacienta z vícero zařízení a sezení. Tato funkce je řízena softwarem DTX Studio Clinic.

Snadná integrace
Použití u křesla nebo ve sdíleném režimu
DEXIS Scan eXam™ One je ideální volbou jako vaše osobní intraorální zobrazovací řešení přímo u křesla. Lze jej však také snadno sdílet mezi více uživateli v prostřednictvím síťového připojení.
Atraktivní design
DEXIS Scan eXam™ One zabere jen minimum místa a skvěle vypadá! Můžete si vybrat ze čtyř barevných variant takovou, která nejlépe ladí s designem vaší ordinace.

Chytře jednoduché
Jeden systém pro vaše potřeby
Pro DEXIS Scan eXam One jsou k dispozici obrazové desky ve více velikostech, které lze využít pro všechny bitewing, periapikální i okluzní snímky. Desky jsou stejně snadné a flexibilní jako film a obzvlášť vhodné pro dětské pacienty.


Jediný software pro všechna vaše zobrazovací zařízení
Zjednodušte pořizování snímků ze všech zobrazovacích přístrojů pomocí jediného softwaru - DTX Studio Clinic. Jeho výhodou je standardizovaný klinický workflow a ukládání všech snímků na jednom místě, které budou dostupné ve všech vašich ordinacích - pro PC i Mac.
Chytrá hygienická manipulace
Skener Scan eXam se probudí z režimu spánku a lze jej obsluhovat bez nutnosti dotyku. Tento pracovní postup v kombinaci s jednorázovými hygienickými pomůckami zajišťuje bezpečný provoz a minimalizuje riziko křížové kontaminace.

Technická specifikace
| DEXIS Scan eXam One | Hodnota |
|---|---|
| Technologie | Opakovaně použitelná zobrazovací deska (Photo Stimulated Phosphor Plate) |
| Velikost pixelu | 30 µm / 60 µm, volitelně |
| Rozlišení skenování | 17 lp/mm |
| Bitová hloubka obrazu | 16 bit |
| Připojení | Standardní síťové připojení (Ethernet RJ45), DHCP |
| Rozměry | 168 × 233 × 328 mm |
| Hmotnost | 4 kg (8 lb) |
| Provozní napětí | 100–240 VAC, 50/60 Hz |
| Operační systém | Windows 7, Windows 8.1 nebo Windows 10, Windows 11 |

Pro více informací o těchto produktech nás neváhejte kontaktovat na info@smrcek-dental.cz nebo telefonicky na +420 541 244 575 – rádi vám poradíme a poskytneme veškeré detaily.